my story

About a month ago I found a lump in my right breast. You’re probably thinking, ‘oh yay good job doing self breast exams!’ But the truth is I usually don’t, my breast just hurt. I was massaging it and thought the hardness was from being pregnant. During my next prenatal appointment my OB thought it was probably benign but recommended I have it checked out.
That is when I landed here.
The Katherine M. Cyran MD Breast Center

This private practice was different than any doctors office I have experienced. I am use to large medical centers that have tons of flouresent lighting, large waiting rooms, paper napkin gowns, and smell like rubbing alcohol. When I was called back I felt like I was walking into an old lady spa. The place had low lighting, nature sounds, inspirational quotes and Longaberger baskets galore. I had my own dressing room with spray deodorant, breath mints, and a fuzzy pink robe. I was skeptical and thought I was going to be treated with rose crystals and the Lords Prayer.

That was until I met Dr. Cyran.

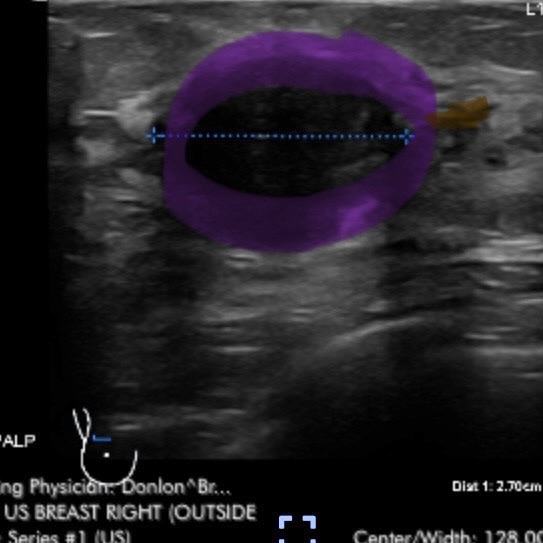
Her bedside manor was professional, kind, and thorough. A few days before Christmas she performed an ultra sound and biopsy.
She waited until after Christmas to call with results, bless her soul. She kindly and slowly explained that I have Grade III Invasive Ductal Carcinoma. This is the most common kind of breast cancer, it starts in the milk duct and as it progress in breaks through the duct and invades surrounding healthy tissue.

Grade III means the cancer’s cellular appearance looks the most different than normal breast cells.


She answered all of my questions regarding the results and stayed on the phone with me to make sure I was ok. It was important to her I wasn’t alone and had the support I needed. She is the type of doctor you want to send a thank you note to for delivering a pile of crap news in a way that is easy to swallow.

Since my diagnosis, I have been catapulted into a world of endless appointments, phone calls and procedures. Thank goodness I am at the best place in the universe to be treated for breast cancer The Ohio State University, Stefanie Spielman Comprehensive Breast Center. You can tell these people are super smart, professional, and actually care for their patients. All of the specialty oncologists,(medical, surgical, radiation, maternal medicine) meet weekly at THE TUMOR BOARD to discuss their patients. I definitely make their job more challenging being pregnant and having breast cancer. Often I feel like an unlucky unicorn, a special patient but not in a good way. Never before have I had more doctors looking after me. This part does feel good.




These doctors are so far my faves, but I have a total of 13 members on my care team. I met with all of them within a couple weeks. They first ordered a breast ultrasound, and a mammogram. The ultrasound confirmed the size of my tumor, 3cm or the size of a large grape.

Each cancer has its own unique receptors that determine the treatment path. After my tumor biopsy, they found it had these receptors:
ER: Positive (60%, moderate intensity)
PR: Positive (95%, strong intensity)
HER2: Positive (3+)
My cancer is what they call a triple positive. It responds to progesterone, estrogen, and a protein called HER2. The hormone receptor makes my cancer very aggressive however it is very treatable. This was not the case 10-20 years ago. Having HER2 positive breast cancer would have been a death sentence. Thank god for science, research and modern medicine.
With these findings my medical oncologist recommended I started chemotherapy right away. She was confident my cancer could be cured but if I wait two-three months until I have the baby she could not make that promise.
When you are pregnant and have breast cancer you have to make some pretty crappy decisions that seem to put your well being and the babies at odds. So far the hardest decision I have had to make was whether or not to receive chemotherapy treatment while being pregnant. If I take the treatment I put my baby at risk, if I don’t I risk my life.

If I have any lucky stars they definitely aligned by sending me my medical oncologist Dr. Roy. She is also pregnant. I asked her what she would do. She told me that she has been thinking about my case a lot, and with a tear in her eye she said she would take the chemotherapy. By doing so she was ensuring her longevity for her family and the baby.

This really hit home for me. I lost my mom to lung cancer when I was only 31, four months after I was married. She never got to meet Milan. I decided to take the chemotherapy treatment.
I had to meet with Dr. Agnese Doreen, a surgical oncologist to discuss how to remove the cancer. At this time the thought was I would have a lumpectomy after I receive my chemotherapy. This was until they found two additional ‘suspicious’ spots on my mammogram. These spots were tiny calcifications that they wanted to biopsy.

The bright oblong shape at the top was a piece of metal inserted in my tumor during my first biopsy. The small white specks with dotted circles around them were the calicifications. A mammogram is not the most pleseant experience. Imagine you lay your boob on a table that moves up and down and there is a flat piece of plexi that comes down to squish your boob into oblivion. The weight being pressed down is comproble to a cinder block.



So having a mammogram biopsy is having a huge needle inserted to remove tissue while your breast is sandwiched. Usually this procedure happens lying down, however because I am pregnant I had to be seated a witness the brutality.
LYING DOWN

SITTING

It was pretty amazing that all they had to do is put in coordinates and the arm new exactly where to insert the needle.
The needle is a vacuum assisted rotating needle. Here it is. It reminded me of an x-acto blade.


It was attached to an arm and connected to a large machine that I could see sucking out fluids. However the tissue specimens were deposited into a little basket the nureses collected an sealed in a little container. To be honest the specimens looked like little snot boogers.
And this is what I saw when I would look down. Except there was a lot more blood.

I was curious if I could just have the cancer surgically removed instead of receiving chemotherapy treatment, however the doctors explained the chemo would shrink the tumor which would make surgery easier. The chemo would also kill any cancer cells possibly floating around my body.
THE BIOPSY RESULTS
Both samples collected were in fact cancerous. They said that because they are so far apart the surgeon would recommend a full mastectomy. There would be too much tissue to remove for a lumpectomy to be possible. Heartbreak beyond words. I asked if there would be any possibility of the chemotherapy killing and removing the spots. I was told because they were calcifications chemotherapy would not be able to remove them. There is a chance but most likely it would not be possible. At this point prepare mentally for a full mastectomy.

